What is PA Act 153 clearance?
Pennsylvania Act 153 requires employees working at educational institutions who have direct contact and routine interaction with minors to obtain three di...
Read JournalReliable news and clear analysis on the stories that matter.
Pennsylvania Act 153 requires employees working at educational institutions who have direct contact and routine interaction with minors to obtain three di...
Read JournalSymptoms include repeated episodes of sudden inflammation and upper body pain. The pain will be less severe than that of acute cholecystitis, and a person...
Read JournalBoth acid reflux and GERD respond well to treatment, especially if it's administered early on before any serious damage to the esophagus occurs. Your...
Read JournalMore specifically, if you are giving your baby a lot of gripe water throughout the day or night, they might be getting full just from gripe water. If this...
Read JournalKourtney Mary Kardashian is an American media personality, socialite, and model. In 2007, she and her family began starring in the reality television seri...
Read JournalReading stories in books and watching stories on video both enhance your brain's imagination capacity. But independent researchers have concluded tha...
Read JournalIn fact, your chickens require 6 to 8 hours of sleep every day in order to maintain their immune system. What is this? So just as much as they need light ...
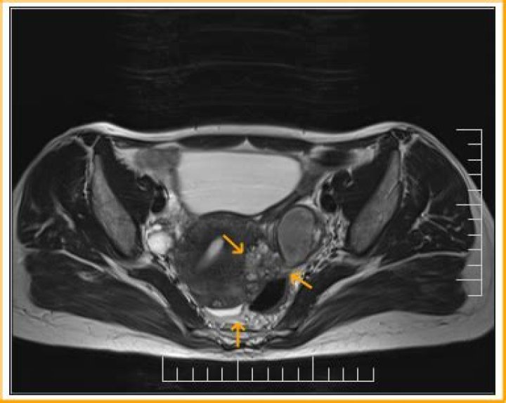
Read JournalMRI is often used in addition to pelvic ultrasound as MRI can help detect smaller sites of endometriosis, especially along the bowel and pelvic ligaments....
Read JournalIf the 1099 income you forget to include on your return results in a substantial understatement of your tax bill, the penalty increases to 20 percent, whi...
Read JournalUnder the Road Traffic Act 1988 it is an offence to supply, fit or use vehicle parts which are not legal. In summary: it is not permitted to convert an ex...
Read Journal