How can I slow down my age?
How to Get Glowing SkinWear Sunscreen. Most of the aging your skin undergoes is due to sun exposure. ... Stop Smoking. Smoking causes your skin to age qui...
Read JournalReliable news and clear analysis on the stories that matter.
How to Get Glowing SkinWear Sunscreen. Most of the aging your skin undergoes is due to sun exposure. ... Stop Smoking. Smoking causes your skin to age qui...
Read JournalIf, on average, identical twins show greater similarity in their ability to sing in tune, compared to non-identical twin pairs, this suggests a role for g...
Read JournalThere's no denying it–chickens are flippin' flappin' weird. And you are about to become one, congrats. Chickens, as with most birds, posses...
Read JournalNo, you cannot. The Affordable Care Act prohibits insurance companies from denying you health insurance coverage based on pre-existing conditions and smok...
Read JournalCaptain Ginyu is the strongest among them, with a power level of 120,000 at maximum. Burter, Jeice and Recoome are at a similar level, which is said to be...
Read JournalStressed? 10 Ways To Lower Your Cortisol LevelsEat a whole-food, plant-based diet. ... If needed, add supplements. ... Take deep breaths. ... Reduce your ...
Read JournalLegal requirements East Indian mahogany is not a prohibited or restricted invasive plant under the Biosecurity Act 2014. However, by law, everyone has a g...
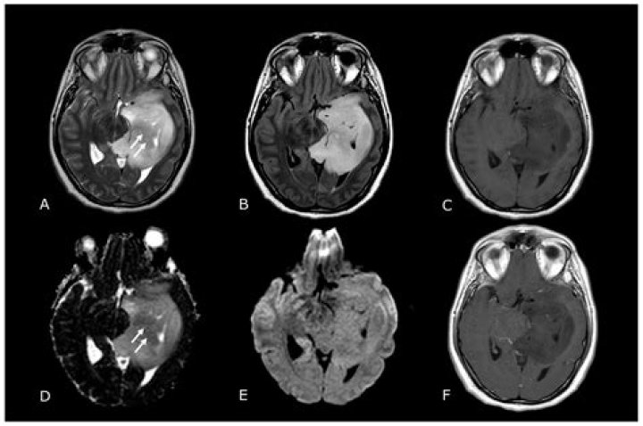
Read JournalCranial computed tomography (CT) and magnetic resonance imaging (MRI) with and without contrast media are widely used for primary diagnosis of brain tumor...
Read JournalAmoxicillin starts addressing the bacteria that are causing your infection immediately, but you will not feel better immediately. Amoxicillin will typical...
Read JournalResearch in the past several years has shown that children can outgrow a diagnosis of autism spectrum disorder (ASD), once considered a lifelong condition...
Read Journal