Can silverfish climb up drains?
They are attracted to moisture and warm, dark places with high levels of humidity (above 75 percent), which explains why they are frequently found in bath...
Read JournalReliable news and clear analysis on the stories that matter.
They are attracted to moisture and warm, dark places with high levels of humidity (above 75 percent), which explains why they are frequently found in bath...
Read JournalHow to Set Up Bridge ModeOpen a web browser from the device that's connected to the network of the router that will run in bridge mode.On the login s...
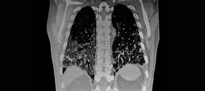
Read JournalCT technology is used to detect pulmonary nodules, collections of abnormal tissue in the lungs that may be early manifestations of lung cancer. These nodu...
Read JournalThose in better condition can have double-digit value. Special examples (especially those in near perfect condition) can be worth much more. Indian Head p...
Read JournalSomeone with mild dyspraxia may be able to pass it off as a quirky foible, or a situational problem. In severe cases though, it may mean being unable to w...
Read JournalDon't write up problems or talk to parents when you're mad....You can handle angry parents by following these suggestions:Listen and Agree. ... ...
Read JournalFor the first time in your life, some of your opponents don't have a full cage or shield covering their face. The players allowed to wear visors are ...
Read JournalThe preferred treatment at all stages is penicillin, an antibiotic medication that can kill the organism that causes syphilis. If you're allergic to ...
Read JournalThere is no magic age at which you're allowed to stop filing taxes with the IRS. However, once you're over the age of 65, your income thresholds...
Read JournalRose Quartz Roller is a great skin care tool that helps in lymph drainage thus reducing the dark circles under eyes. As you roll it under your eyes, it re...
Read Journal